Máy Siêu Âm Chuyên Tim SonoScape P9 – Công Nghệ Hình Ảnh Siêu Âm Đột Phá - Chẩn đoán đa khoa
I. Giới thiệu về máy siêu âm SonoScape P9
SonoScape P9 là thiết bị siêu âm Doppler màu hiện đại, được tối ưu hóa cho chẩn đoán tim mạch với hình ảnh sắc nét và nhiều tính năng tiên tiến. Nhờ cấu hình mạnh mẽ, máy hỗ trợ quét 2D tốc độ cao, cùng các chế độ Doppler màu, Doppler mạch máu, CW, PW, TDI... giúp bác sĩ đưa ra chẩn đoán nhanh chóng và chính xác. Không chỉ phù hợp cho chuyên khoa tim mạch, máy còn được ứng dụng rộng rãi trong cơ xương khớp và thẩm mỹ, nhờ khả năng hiển thị hình ảnh độ phân giải cao. Thiết kế hiện đại, giao diện trực quan giúp bác sĩ thao tác dễ dàng, nâng cao hiệu suất khám chữa bệnh.
Máy đáp ứng tiêu chuẩn chất lượng quốc tế như FDA Hoa Kỳ, CE Châu Âu, đảm bảo độ bền cao và hiệu năng ổn định. Với mức giá hợp lý, đây là sự lựa chọn tin cậy của nhiều phòng khám và bệnh viện trong nhiều năm qua.
Hình ảnh lắp đặt máy siêu âm SonoScape P9 cho Bệnh viện thẩm mỹ ATA, hệ thống thẩm mỹ ATA trang bị toàn bộ máy siêu âm này cho chẩn đoán hình ảnh
1. Đặc điểm thiết kế nổi bật của máy siêu âm SonoScape P9
- Thiết kế nhỏ gọn, dễ dàng di chuyển và sử dụng trong nhiều môi trường khác nhau như phòng khám, bệnh viện hay phòng điều trị tại gia.
- Được trang bị nhiều tính năng tiên tiến như Doppler màu, Doppler mạch máu, hình ảnh thời gian thực và chế độ giảm nhiễu, giúp bác sĩ xem và đánh giá rõ nét các bộ phận bên trong cơ thể bệnh nhân.
- Màn hình hiển thị 21.5inch và cảm ứng rộng 13.3 inch với độ phân giải cao Full HD 1920x1080 pixel giúp xem hình ảnh chi tiết và chính xác hơn.
- Công nghệ xử lý hình ảnh tiên tiến giúp tăng độ chính xác và giảm thời gian chẩn đoán, giúp bác sĩ tiết kiệm thời gian và nâng cao hiệu quả công việc.
.jpg)
2. Công nghệ siêu âm mới trên SonoScape P9
SonoScape P9 thừa hưởng một nền tảng siêu âm cao cấp và được kết hợp với nhiều công nghệ cải tiến quy trình công việc, như cài đặt trước do người dùng xác định, lưu trữ thông minh và tối ưu hóa, để tạo môi trường làm việc ổn định và trải nghiệm vận hành thuận tiện cho chẩn đoán lâm sàng.

Công nghệ Vis-Needle (Needle Visualization Enhancement): Hỗ trợ nhìn rõ đường kim đâm trong thủ thuật chọc hút tế bào của bác sỹ cơ xương khớp và các bác sỹ châm cứu để tránh tổn thương mô và dây thần kinh.

Công nghệ Sono-help (Built-in Scanning Tutorials): Hướng dẫn quét siêu âm tích hợp sẵn, giúp bạn nâng cao kỹ năng quét và chẩn đoán. Sono-Help là một hướng dẫn đầy cảm hứng hiển thị vị trí đầu dò, minh họa giải phẫu và các ví dụ hình ảnh siêu âm tiêu chuẩn. Là một tài liệu tham khảo hữu ích mà các bác sĩ lâm sàng ít kinh nghiệm có thể dựa vào, Sono-Help bao gồm nhiều ứng dụng bao gồm gan, thận, tim, vú, tuyến giáp, sản khoa, mạch máu, v.v.
3. Những tính năng nổi bật về kỹ thuật của SonoScape P9
Chuyên biệt cho chẩn đoán tim mạch
- Chế độ Doppler màu (CFM, PDI/DPDI): giúp đánh giá lưu lượng máu qua tim và mạch máu.
- Doppler xung PW/CW: phân tích tốc độ dòng chảy của máu.
- M-mode và Anatomical M-mode: đánh giá cấu trúc tim theo thời gian thực.
- TDI (Tissue Doppler Imaging): hỗ trợ đánh giá chức năng cơ tim.
Công nghệ hình ảnh tiên tiến
- μ-Scan & Compound Imaging: giảm nhiễu và tăng độ tương phản hình ảnh.
- Tissue Specific Imaging (TSI): tối ưu hóa chất lượng hình ảnh theo từng loại mô.
- Panoramic Imaging: hỗ trợ quét hình ảnh toàn diện.
- Auto IMT: đo độ dày lớp nội mạc động mạch tự động, hỗ trợ phát hiện bệnh tim mạch sớm.
Hệ thống đầu dò tim linh hoạt
- 3P-A: dải tần 1.0 – 6.0 MHz, phù hợp cho siêu âm tim người lớn.
- 2P1: dải tần 1.5 – 5.0 MHz, chuyên dùng cho siêu âm tim.
- 7P-B: dải tần 2.0 – 9.0 MHz, dành cho siêu âm tim nhi.
Màn hình cảm ứng hiện đại & giao diện thân thiện
- Màn hình chính: độ phân giải Full HD 1920×1080, góc nhìn rộng 178°.
- Màn hình cảm ứng: hỗ trợ thao tác nhanh chóng.
- Bảng điều khiển thông minh: có đèn nền, điều chỉnh TGC 8 dải.
Hệ thống lưu trữ và kết nối mở rộng
- Ổ cứng 869GB, hỗ trợ xuất file DICOM, PDF, AVI, JPG, BMP.
- Kết nối USB 3.0, HDMI, VGA, Ethernet.
- Tích hợp DICOM 3.0: dễ dàng chia sẻ và lưu trữ dữ liệu bệnh nhân.
III. Ứng dụng của máy siêu âm SonoScape P9
Máy siêu âm SonoScape P9 là thiết bị hiện đại ứng dụng rộng rãi trong lĩnh vực y tế, đặc biệt nổi bật trong chẩn đoán tim mạch. Với công nghệ quét 2D tiên tiến, máy cung cấp hình ảnh sắc nét, giúp bác sĩ quan sát chi tiết cấu trúc tim như van tim, cơ tim và nhĩ tim. Ngoài ra, máy còn tích hợp các chế độ Doppler màu, Doppler mạch máu, hình ảnh thời gian thực và tính năng giảm nhiễu, hỗ trợ phát hiện bệnh lý tim mạch một cách nhanh chóng và chính xác.
Không chỉ giới hạn trong tim mạch, SonoScape P9 còn được ứng dụng trong nhiều chuyên ngành khác như sản khoa, ngoại khoa và nhi khoa. Trong sản khoa, máy giúp theo dõi nhịp tim thai, đánh giá sự phát triển của thai nhi và tình trạng sức khỏe thai phụ. Trong ngoại khoa, thiết bị hỗ trợ bác sĩ định vị chính xác vị trí tổn thương, giúp phẫu thuật được thực hiện an toàn hơn.
Với hệ thống tính năng tiên tiến và khả năng ứng dụng linh hoạt, SonoScape P9 là lựa chọn lý tưởng cho các phòng khám và bệnh viện muốn nâng cao chất lượng chẩn đoán và điều trị.
✔ Chẩn đoán bệnh lý tim mạch: Siêu âm tim qua thành ngực, đánh giá hẹp động mạch, hở van tim, đo vận tốc dòng máu.
✔ Đánh giá chức năng tim: Sử dụng Doppler mô TDI, TDI + PW để phân tích chính xác hoạt động cơ tim.
✔ Hỗ trợ điều trị can thiệp: Theo dõi bệnh nhân trước và sau phẫu thuật tim mạch, hỗ trợ kiểm tra hiệu quả điều trị.
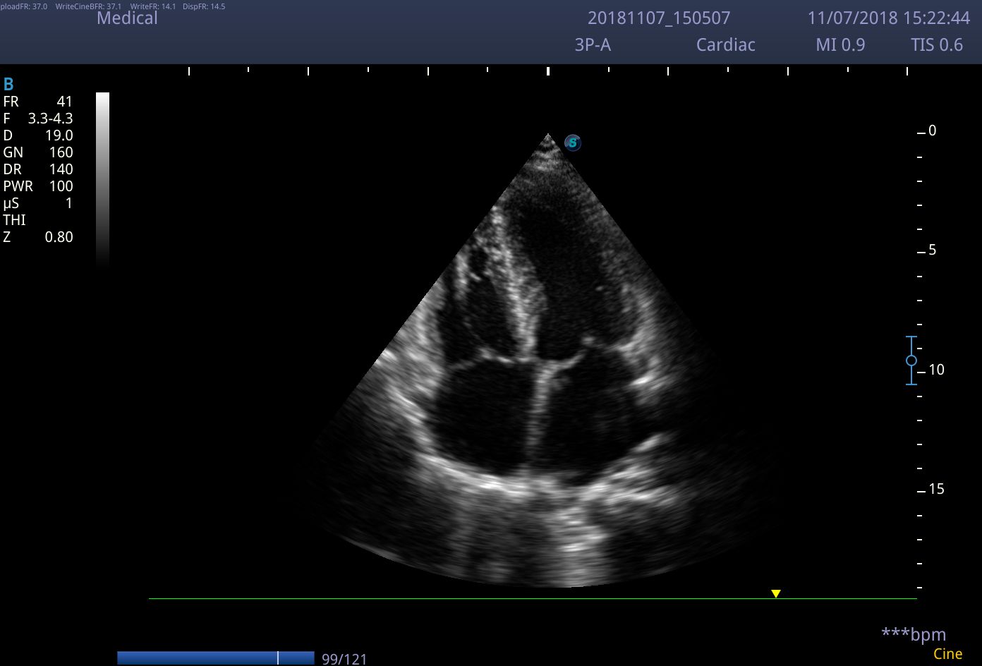
Chất lượng hình ảnh 2D trên máy siêu âm chuyên tim SonoScape P9:



Hình ảnh siêu âm Doppler thận sắc nét
IV. Thông số kỹ thuật cơ bản của máy siêu âm SonoScape P9
Thông số kỹ thuật vật lý:
- Màn hình hiển thị chính LED 21.5inch độ phân giải 1920x1080
- Màn hình cảm ứng điều khiển 13.3inch độ phân giải 1920x1080
- 5 cổng cắm đầu dò (Option)
- Wifi Module kết nối mạng không dây (Option)
- Pin dự phòng (Option)
- Kích thước: Depth: 743mm x Width: 568mm x Height: 1360mm
- DICOM 3.0: Store / C-Store / Worklist / MPPS / Print / SR / Q&R
- Trọng lượng 64kg
Phần tiêu chuẩn của máy siêu âm SonoScape P9
- Chế độ B (2B & 4B), chế độ M
- Hình ảnh dòng chảy Doppler màu
- Hình ảnh Doppler năng lượng / Doppler xung PW / sóng xung CW
- B / C Dual Live
- Công nghệ giảm đốm 2D μ-Scan
- Tối ưu hóa tự động cho 2D / M / PW
- Thu phóng / Scr-Zoom (Hiển thị toàn màn hình một phím)
- Đánh dấu tự động PW
- Chỉ số TEI
Các chức năng trên máy siêu âm SonoScape P9:
- Doppler màu/ Doppler xung/ Doppler liên tục, CW/PW, TDI. SR Flow.
- Vis-Needle (hỗ trợ nhìn rõ đường kim đâm vào cơ thể), Chế độ B Hình ảnh toàn cảnh, μ-Scan (2D Công nghệ giảm đốm, làm mịn hình ảnh)
- Option: WiFi Module, ECG, Pin dự phòng
Chế độ hình ảnh:
- Chế độ B (2B & 4B); Chế độ M
- Hình ảnh dòng chảy Doppler màu
- Hình ảnh Doppler năng lượng / định hướng
- Hình ảnh Doppler điện
- Hình ảnh Doppler sóng xung
- Hình ảnh mô điều hòa
- Hình ảnh sóng đảo ngược
- B / C Dual Live
- Triplex/ Ghi chú hình ảnh 2D
- Hình ảnh hợp chất
-Scan (Công nghệ giảm đốm 2D)
- Tối ưu hóa một khóa (Tối ưu hóa tự động cho 2D / M / PW)
- Thu phóng / Scr-Zoom (Hiển thị toàn màn hình một phím)
- Hướng dẫn sinh thiết
- Chế độ doppler xung PW
- Tự động đo các chỉ số TEI
ECG (Phần mềm: Phải được cấu hình với Phần cứng và Cáp ECG)
Chế độ chờ DICOM 3.0: Store / C-Store / Worklist / MPPS / Print / SR / Q & R
Một vài hình ảnh lắp đặt máy máy siêu âm SonoScape P9 cho các bệnh viện thẩm mỹ và phòng khám do công ty chúng tôi thực hiện
-
.jpg)
Với thiết kế sang trọng, đẹp mắt, giao diện hiện đại dòng máy SonoScape P9 đang được nhiều phòng khám và bệnh viện chuyên khoa lớn đầu tư để nâng cấp hình ảnh dịch vụ y tế chuyên nghiệp và hiện đại

Hình ảnh lắp đặt máy siêu âm SonoScape P9 cho Bệnh viện thẩm mỹ Kangnam
Máy siêu âm SonoScape P9 là lựa chọn hàng đầu cho các bác sĩ chuyên khoa tim mạch, cơ xương khớp và các bệnh viện thẩm mỹ viện lớn. Với ưu điểm độ phân giải cao, khả năng quét 2D và nhiều tính năng tiên tiến như Doppler màu, Doppler mạch máu, PW, Chình ảnh thời gian thực và chế độ giảm nhiễu. Đừng bỏ lỡ cơ hội sở hữu máy siêu âm SonoScape P9 để nâng cao chất lượng chăm sóc bệnh nhân và chuyên môn của bạn!
Địa chỉ bán máy siêu âm SonoScape P9 chính hãng và uy tín?
Hiện nay,Công ty CP Xuất nhập khẩu thiết bị y tế Hoàn Mỹ là đơn vị có nhiều năm kinh nghiệm trong lĩnh vực cung cấp các dòng máy siêu âm cho phòng khám, bệnh viện, cơ sở y tế. Dòng máy siêu âm Sonoscape Pp mà chúng tôi đưa ra thị trường đảm bảo chính hãng, giá cả cạnh tranh, bảo hành lâu dài.
Thiết bị có giấy tờ chứng minh nguồn gốc rõ ràng, hóa đơn, giấy tờ đầy đủ mà còn sở hữu đầy đủ tính năng ưu việt. Hãy trải nghiệm chất lượng hình ảnh siêu âm tuyệt vời với máy siêu âm SonoScape P9. Chúng tôi là công ty nhập khẩu và phân phối độc quyền sản phẩm này, đảm bảo đáp ứng nhu cầu chẩn đoán y tế của bạn với độ chính xác cao và hiệu suất tối ưu. Liên hệ với chúng tôi ngay hôm nay để biết thêm thông tin chi tiết về sản phẩm này!
Hệ thống: CÔNG TY CỔ XUẤT NHẬP KHẨU THIẾT BỊ Y TẾ HOÀN MỸ
🌎 Website: https://ytehoanmy.vn/ 📨 Email: ytehoanmy@gmail.com
Hotline: 0945.805.966 (Zalo, Viber) hoặc 0969.184.600
Hệ thống các chi nhánh:
VP Miền Bắc: A8 Lô 12 Khu Đô Thị Mới Định Công, Phường Định Công, Quận Hoàng Mai, TP. Hà Nội
VP Miền Nam: 264/20B Lê Văn Quới, phường Bình Hưng Hoà A, quận Bình Tân, Hồ Chí Minh.
Có thể bạn quan tâm: Máy siêu âm xách tay; Máy siêu âm chuyên tim; Máy siêu âm 4D; Máy siêu âm 5D
Xem thêm: Bảng giá máy siêu âm xách tay
Top 5 máy siêu âm xách tay giá rẻ dưới 70 triệu
Bảng báo giá máy siêu âm 5D