Thông số kỹ thuật cơ bản:
- Màn hình LCD 12 inch, độ phân giải cao
- Bàn phím và các nút điều khiển nổi, bố trí thông minh, có đèn nền
- Có phần mềm thú y chuyên dụng cho từng loại động vật khác nhạu: Canine, Ovine, Fetine, Equine, Bovine, Swine
- Được trang bị nhiều công nghệ siêu âm hiện đại như siêu âm 2D, 3D, doppler, công nghệ tối ưu hình ảnh, Pseudo, Free Xros M, THI, Izoom,...
- Trọng lượng: 6.5 kg
- Có nhiều chế độ hiển thị hình ảnh: B, 2B, 4B, B/M, M, B/C, B/D, B/C/D, PW, B/PW, CFM, Duplex/Triplex,...
- Vòng lặp Cine: > 100 khung hình
- Hỗ trợ các loại đầu dò: convex, linear, micro-convex, endocavity của hãng
- Hỗ trợ siêu âm nhiều loại động vật, từ những động vật cỡ nhỏ đến lớn như: chó, mèo, lợn, dê, cừu, trâu, bò, ngựa,...
- Các cổng kết nối: VGA, S-Video, USB, DICOM, máy in,...
- Hỗ trợ kết nối trực tiếp với nhiều loại máy in
- Hỗ trợ nhiều ngôn ngữ: tiếng Anh, tiếng Trung Quốc, Nga. Tây Ban Nha,...
- Có tích hợp pin dự phòng với thời lượng sử dụng từ 2-3h
- Hiệu suất máy cao, năng lượng tiêu thụ thấp
- Tiêu chuẩn an toàn ISO-9001, ISO-13485, FDA, CE
Đăng ký mua online
Máy siêu âm thú y Cansonic K6vet là dòng máy siêu âm thú y xách tay đến từ thương hiệu Cansonic. Máy có thiết kế nhỏ gọn, trọng lượng nhẹ với màn hình LCD 12 inch, có pin dự phòng sử dụng lên đến 2-3 giờ, rất thuận tiện mang đi di chuyển khám tuyến. Máy được trang bị nhiều cộng nghệ siêu âm hiện đại như siêu âm 2D, 3D, doppler, công nghệ tối ưu hình ảnh, Pseudo, Free Xros M, THI, Izoom,... Sản phẩm được sản xuất trên dây truyền công nghệ tiến tiến của Nhật Bản và đạt các chứng chỉ chất lượng của Mỹ và quốc tế nên đảm bảo độ an toàn và khả năng hoạt động ổn định trong suốt quá trình sử dụng.
Các đặc điểm kỹ thuật của máy siêu âm thú y Cansonic K6vet:
Kích thước và Trọng lượng
- Kích thước của đơn vị chính (khoảng): Chiều dài 365 mm x Chiều rộng 148 mm x Chiều cao 374 mm
- Trọng lượng tịnh của đơn vị chính (khoảng): 6.5 kg (không bao gồm probe)
Điều kiện Hoạt động
- Nhiệt độ môi trường: từ +5°C đến +40°C
- Độ ẩm tương đối: 30% đến 80%
- Áp suất khí quyển: 860hPa đến 1060hPa
Thiết kế thông minh dạng vỏ sò
- Màn hình LED y tế
- Bảng điều khiển có đèn nền
- Trượt 8TGC cho việc điều chỉnh dễ dàng
- Bàn phím nổi
- Hai cổng probe hoạt động
Điện Năng
- Nguồn cung cấp điện AC220V±22V, 50Hz±1Hz
- Công suất đầu vào hệ thống chính: ≤120VA
- Loại pin: Li-ion 11.1V/9.0Ah, 95Wh
Màn hình Hiển thị
- Màn hình LED y tế có độ phân giải cao
- Độ phân giải: 1024x768
Ứng Dụng
- Chó (Canine)
- Mèo (Feline)
- Cừu (Sheep)
- Ngựa (Equine)
- Bò (Bovine)
- Lợn (Swine)
Chức Năng
- Tối ưu hóa hình ảnh
- Giảm nhiễu Speckle
- Hình ảnh Harmonic mô
- Điều chỉnh động
- Cửa sổ động
- Hình ảnh Doppler hướng
- Chỉnh sửa loại khám và lưu các mục do người dùng định nghĩa
- Doppler sóng xung
Chế Độ Hiển Thị
- B, 2B, 4B, B|M, M, CFM, PW, B|PW,B steer (điều khiển B), Chế độ ba trong một (Triplex mode), THI (Tissue Harmonic Imaging - Hình ảnh hài hòa mô), Sinh thiết (tùy chọn - Biopsy)
Cấu Hình Tiêu Chuẩn
- Màn hình LED độ phân giải cao
- 2 cổng kết nối probe hoạt động
- SSD - 64G
- Hai cổng USB
- Ethernet
- Cổng VGA
- Cổng DVI
- THI (Tissue Harmonic Imaging - Hình ảnh hài hòa mô)
- Các gói đo lường
- Báo cáo
- AIO (All In One - Tất cả trong một)
- SA (Spatial Averaging - Trung bình không gian)
- MBF (Multi-beam forming - Hình thành đa chùm)
Đo lường
Chó (Canine)
- GS (Gestation Sac - Túi thai)
- BD (Base Diameter - Đường kính cơ sở)
- CRL (Crown-Rump Length - Chiều dài từ đỉnh đầu đến mông)
- HD (Head Diameter - Đường kính đầu)
Mèo (Feline)
- BD (Base Diameter - Đường kính cơ sở)
- HD (Head Diameter - Đường kính đầu)
- Cừu (Sheep)
- CRL (Crown-Rump Length - Chiều dài từ đỉnh đầu đến mông)
- BPD (Biparietal Diameter - Đường kính hai bên xương chẩm)
Ngựa (Equine)
- GS-H (Gestation Sac-Height - Chiều cao túi thai)
- GS-V (Gestation Sac-Volume - Thể tích túi thai)
Bò (Bovine)
- CRL (Crown-Rump Length - Chiều dài từ đỉnh đầu đến mông)
- TD (Thoracic Diameter - Đường kính lồng ngực)
- HD (Head Diameter - Đường kính đầu)
Lợn (Swine)
- CRL (Crown-Rump Length - Chiều dài từ đỉnh đầu đến mông)
- TD (Thoracic Diameter - Đường kính lồng ngực)
- HD (Head Diameter - Đường kính đầu)
Các Loại Transducer (Bộ Chuyển Đổi)
- Đầu dò micro lồi 3.5Mhz (2.0, 2.5, 3.5, 4.5, 5.0Mhz)
- Đầu dò micro lồi 6.5Mhz (5.0/ 6.0/ 6.5/ 7.5/ 9.0Mhz)
- Đầu dò lồi 3.5Mhz (2.0/ 3.0/ 3.5/ 4.0/ 5.5Mhz)
- Đầu dò tuyến tính 7.5Mhz (6.0/ 6.5/ 7.5/ 10.0/ 12.0Mhz)
- Đầu dò mảng pha 3.5Mhz (2.1/ 3.0/ 3.5/ 4.0/ 5.0Mhz)
- Đầu dò trực tràng 6.5Mhz (5.0, 6.0, 6.5, 7.5, 9.0Mhz)
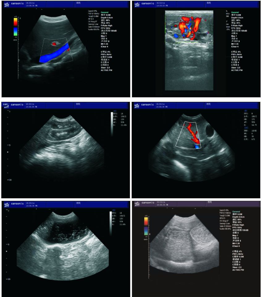
Kết quả siêu âm trên Cansonic K6vet

Lựa chọn đầu dò Cansonic K6V: Micro-covext (phù hợp cho siêu âm động vật dưới 20kg), Convext (phù hợp cho siêu âm động vật trên 20kg), đầu dò trực tràng (phù hợp cho siêu âm thai động vật lớn như trâu, bò, ngựa)

Thông tin nhà nhập khẩu: CÔNG TY CỔ XUẤT NHẬP KHẨU THIẾT BỊ Y TẾ HOÀN MỸ
🌎 Website: https://ytehoanmy.vn/ 📨 Email: ytehoanmy@gmail.com
Hotline: 0968.068.661 -0912.861.096 (Zalo, Viber)
Hệ thống các chi nhánh:
Miền Bắc: A8 Lô 12 Khu Đô Thị Mới Định Công, Phường Định Công, Quận Hoàng Mai, TP. Hà Nội
Miền Nam: 264/20B Lê Văn Quới, phường Bình Hưng Hoà A, quận Bình Tân, Hồ Chí Minh
Nhằm đem lại sự tiện ích cho khách hàng khi mua sắm tại thương hiệu thiết bị y tế tại Ytehoanmy.vn, chúng tôi áp dụng chính sách vận chuyển đối với khách mua hàng như sau:
a. Giao hàng trong nội thành Hà Nội và Hồ Chí Minh
- Thời gian giao hàng: Ngay trong ngày
- Phí giao hàng: Miễn phí
b. Giao hàng tại địa phương khác
- Thời gian giao hàng: Giao ngay, sau thời gian đặt hàng là: 24h hoặc 48h
- Phí giao hàng: Phụ thuộc vào phí của hãng vận chuyển đối với từng địa phương. Chúng tôi sẽ trao đổi trực tiếp với quý khách khi nhận được thông tin đặt hàng.
Lưu ý: Tuy nhiên vào thời điểm lễ, tết... hoặc tùy theo một số điều kiện khách quan như thiên tai, hỏng hóc phương tiện... chúng tôi không thể giao hàng ngay nên sẽ thỏa thuận thời gian giao hàng cụ thể cho khách hàng khi mua hàng.