Thông số kỹ thuật cơ bản:
- Màn hình chính LED 19 inch hiển thị sắc nét, góc nhìn rộng
- Màn hình phụ cảm ứng 10.4 inch độ nhạy cao (optional)
- Bàn phím và các nút điều khiển nổi, bố trí thông minh, có đèn nền
- Màn hình có các khớp nối, linh hoạt điều chỉnh lên, xuống và xoay 360 độ
- Có phần mềm thú y chuyên dụng
- Được trang bị nhiều công nghệ siêu âm hiện đại như 3D thời gian thực, công nghệ hình ảnh hài mô, xử lý đa tia,...
- Phạm vi thu phóng hình ảnh từ 2 - 10 lần
- Vòng lặp Cine: >1000 khung hình
- 19 kiểu hiển thị màn hình
- Có 4 khe cắm đầu dò cùng lúc
- Hỗ trợ các loại đầu dò: convex, linear, micro-convex, back fat, rectal của hãng
- Độ sâu tối đa: 300mm
- Ngôn ngữ: tiếng Trung, Anh, Tây Ban Nha, Pháp, Bồ Đào Nha, Nga
- Bộ nhớ trong 128Gb, có hỗ trợ bộ nhớ ngoài qua cổng USB
- Hỗ trợ siêu âm nhiều loại động vật, từ những động vật cỡ nhỏ đến lớn như: chó, mèo, lợn, gà, chuột, thỏ, dê, cừu, trâu, bò, ngựa,...
- Các cổng kết nối đầu ra: VGA, S-Video, USB, DICOM...
- Hỗ trợ kết nối nhiều loại máy in
- Nguồn điện: 110-240 VAC, 50/60Hz
- Tiêu chuẩn an toàn ISO-9001, ISO-13485, CE
Đăng ký mua online
Máy siêu âm Dawei DW-VET9P
Máy siêu âm Dawei DW-VET9P là dòng máy siêu âm thú y bàn đẩy 3D chất lượng cao đến từ thương hiệu Dawei. Sản phẩm nổi bật với thiết kế sang trọng và hiện đại với màn hình lớn 19 inch LED HD cho hình ảnh hiển thị chất lượng cao, rõ ràng, sắc nét. Máy được trang bị nhiều cộng nghệ siêu âm hiện đại như 3D thời gian thực, xử lý đa tia, phần mềm siêu âm thú y chuyên tim phục vụ đắc lực cho siêu âm tim và siêu âm tim thai động vật, cùng chế độ hình ảnh siêu âm sắc nét và hình ảnh siêu âm sâu. Thiết bị phù hợp để sử dụng trong những phòng khám thú y chuyên siêu âm cho các loài động vật thú nuôi trong nhà có kích thước nhỏ và trung bình. Dawei DW-VET9P đạt các chứng chỉ an toàn về chất lượng của châu Âu và quốc tế nên đảm bảo hoạt động ổn định trong quá trình sử dụng.
Ứng dụng của máy siêu âm Dawei DW-VET9P
Ứng dụng của máy siêu âm thú y Dawei DW-VET9P:
Ứng dụng trong siêu âm chó, mèo, chuột, thỏ, lợn, bò, dê, cừu, trâu, ngựa,... phù hợp với những phòng khám thú y siêu âm thú nuôi có kích thước nhỏ và trung bình
Đo lường và tính toán thú y chuyên nghiệp
Siêu âm thai cho động vật trung bình và nhỏ như: theo dõi sự phát triển của bào thai, sức sống của thai nhi. Xác định và chẩn đoán vị trí thai nhi.
Siêu âm động vật trung bình và nhỏ ở bụng, ngực, tim, gan, lá lách, túi mật, bàng quang, thận, tử cung, các cơ quan nhỏ như cơ xương khớp, bộ phận sinh dục và các mô và cơ quan khác, kiểm tra và chẩn đoán các tổn thương
Ưu điểm của máy siêu âm Dawei DW-VET9P
Máy siêu âm thú y Dawei DW-Vet9P có nhiều ưu điểm giúp cho việc chẩn đoán bệnh uống của động vật trở nên dễ dàng hơn và chính xác hơn. Một số trong số đó bao gồm:
1. Chất lượng hình ảnh siêu âm cao: Máy sử dụng công nghệ siêu âm tiên tiến giúp cho việc xem hình ảnh của các bộ phận trong cơ thể rõ ràng và chính xác.
2. Dễ sử dụng: Máy có thiết kế đơn giản và dễ sử dụng, giúp cho bác sĩ thú y dễ dàng thực hiện việc chẩn đoán.
3. Di chuyển linh hoạt: Máy có thể di chuyển dễ dàng và linh hoạt, giúp cho bác sĩ thú y có thể chẩn đoán bệnh cho động vật mọi lúc mọi nơi.
4. Tính năng nhiều: Máy cung cấp nhiều tính năng giúp cho việc chẩn đoán và theo dõi tình trạng sức khỏe của động vật trở nên dễ dàng hơn.
5. Giá cả hợp lý: So với các loại máy siêu âm cùng cấp, Máy siêu âm thú y Dawei DW-Vet9P có giá cả hợp lý và phù hợp với nhu cầu sử dụng của nhiều bác sĩ thú y.
Đặc điểm kỹ thuật của máy siêu âm Dawei DW-VET9P
Các đặc điểm kỹ thuật của máy siêu âm thú y Dawei DW-VET9P:
- Có thiết kế bàn đẩy gọn gàng, sang trọng, hiện đại, thuận tiện đẩy đi di chuyển trong phòng khám với bánh xe linh hoạt
- Màn hình chính lớn 19 inch LED HD, góc nhìn rộng, hiển thị rõ ràng. Có các cánh tay có khớp nối giúp dễ dàng điều chỉnh linh hoạt lên, xuống và xoay 360 độ
- Bàn phím và phím điều khiển thiết kế nổi, có đèn nền được bố trí thông minh, trực quan, dễ dàng thao tác ngay cả trong bóng tối
- Thân máy làm từ vật liệu nhựa cao cấp, độ bền cao giúp máy có trọng lượng nhẹ và ngoại hình đẹp, bắt mắt
- Chất lượng hình ảnh cao, độ phân giải cao, rõ ràng, sắc nét.
- Thiết bị được trang bị nhiều công nghệ siêu âm hiện đại, tiên tiến như tự động dò tìm, xác định và tăng cường thông tin về đặc tính của các mô, tăng tỷ lệ S/N, làm rõ đường viền mô, 3D thời gian thực, công nghệ hình ảnh hài mô, xử lý đa tia, công nghệ tối ưu hóa hình ảnh, công nghệ xử lý hình ảnh kỹ thuật số cao, công nghệ tối ưu hóa mô động giúp hiển thị hình ảnh chi tiết,...
- Máy được trang bị phần mềm siêu âm chuyên biệt dành cho từng loại động vật khác nhau
- Các chế độ hiển thị hình ảnh: B; 2B; 4B; M; CF; B/M; PW; CW; PDI; CFM; B+CFM; B+PDI; B+DPDI; B+TDI; B+M; B+PW; B+CFM+PW; B+PDI+PW; B+DPDI+PW; B+TDI+PW; B+CW; B+CFM+CW ; B+PDI+CW; khả năng thu phóng, xoay hình ảnh nhiều hướng,... giúp dễ dàng quan sát hơn, đáp ứng nhu cầu người dùng.
- Máy hỗ trợ các loại đầu dò chuyên dụng của hãng: linear, convext, micro-convext, back fat, rectal... với dải tần rộng và cáp đầu dò dài hơn được thiết kế riêng cho thú y
- Máy hỗ trợ các cổng kết nối USB, VGA, S-Video, DICOM,...
- Hỗ trợ 4 khe cắm đầu dò, có thể kết nối cùng lúc 4 đầu dò rát tiện lợi
- Phần mềm dễ dàng sử dụng với giao diện trực quan, dễ thao tác, khởi động máy nhanh chóng, dễ dàng cập nhật và bảo trì hệ thống.
- Hệ thống quản lý thông tin, dữ liệu thú y thông minh, khoa học, chuyên nghiệp, tích hợp máy trạm tích hợp đồ họa
- Hỗ trợ nhiều loại ngôn ngữ như: tiếng Anh, Trung, Pháp, Tây Ban Nha, Bồ Đào Nha, Nga,...
- Sản phẩm đạt các chứng chỉ về an toàn chất lượng CE của châu Âu, ISO-9001, ISO-13485 của quốc tế, đảm bảo an toàn trong quá trình sử dụng.
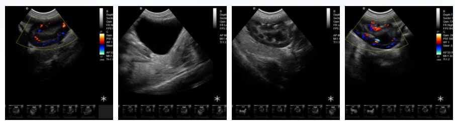
Chất lượng hình ảnh trên máy siêu âm thú y Dawei DW-VET9P:

Thông tin nhà nhập khẩu: CÔNG TY CỔ XUẤT NHẬP KHẨU THIẾT BỊ Y TẾ HOÀN MỸ
🌎 Website: https://ytehoanmy.vn/ 📨 Email: ytehoanmy@gmail.com
Hotline: 0968.068.661 -0912.861.096 (Zalo, Viber)
Hệ thống các chi nhánh:
Miền Bắc: A8 Lô 12 Khu Đô Thị Mới Định Công, Phường Định Công, Quận Hoàng Mai, TP. Hà Nội. (Gần số nhà 55 Trần Nguyên Đán)
Miền Nam: 264/20B Lê Văn Quới, phường Bình Hưng Hoà A, quận Bình Tân, Hồ Chí Minh