MÁY SIÊU ÂM 5D VINNO R500 - TINH HOA CÔNG NGHỆ CAO VỚI HÀNG LOẠT TÍNH NĂNG AI
Giải pháp chẩn đoán hình ảnh toàn diện – Công nghệ AI – Hiệu năng vượt trội
Máy siêu âm 5D Vinno R500 được trang bị hệ thống trí tuệ nhân tạo (AI) tiên tiến, mang đến bước đột phá trong chẩn đoán hình ảnh. Công nghệ AI cho phép tự động nhận diện cấu trúc giải phẫu, đo đạc chính xác và phân tích dữ liệu nhanh chóng, giúp rút ngắn đáng kể thời gian thực hiện siêu âm. Nhờ khả năng tối ưu hóa chất lượng hình ảnh vượt trội, thiết bị hỗ trợ bác sĩ dễ dàng lấy nét, quan sát chi tiết và đưa ra kết luận lâm sàng chính xác hơn. Đồng thời, hệ thống còn giảm thiểu sai sót do thao tác thủ công, nâng cao hiệu quả làm việc và độ tin cậy trong chẩn đoán. Vinno R500 không chỉ là thiết bị siêu âm hiện đại mà còn là trợ thủ thông minh, góp phần nâng cao chất lượng khám chữa bệnh trong kỷ nguyên y tế số.

Các công nghệ trí tuệ AI nổi bật như VAid Thyroid (tuyến giáp -AI tự động nhận diện và đánh giá nhân tuyến giáp), VAid Breast, VAid Liver (gan -AI tự động phát hiện và phân tích tổn thương gan. HRI AI tự động đánh giá gan nhiễm mỡ), VAid Carotid Plaque (AI hỗ trợ phát hiện và đánh giá mảng xơ vữa động mạch cảnh), VAid Nerve (AI tự động phát hiện dây thần kinh khi siêu âm), VAid IVC (Inferior Vena Cava) là AI hỗ trợ đánh giá tĩnh mạch chủ dưới, VAid VTI hỗ trợ phát hiện tổn thương, đánh giá mạch máu và phân tích chức năng cơ quan một cách nhanh chóng và chính xác. Bên cạnh đó, bộ công cụ VAim Follicle (AI tự động đếm và đo từng nang trứng), VAim OB, VAim Pelvic (AI tự động khảo sát vùng chậu), VAim Hip (AI tự động đo góc khớp háng) cùng Auto LV Study (AI công cụ tự động phân tích tâm thất trái (Left Ventricle) giúp tự động hóa đo đạc trong sản khoa, tim mạch và cơ xương khớp, giảm phụ thuộc vào kinh nghiệm người dùng.

Nhờ tích hợp AI toàn diện, Vinno R500 giúp rút ngắn thời gian thăm khám, tăng độ chính xác chẩn đoán và nâng cao hiệu suất làm việc, là lựa chọn lý tưởng cho phòng khám và bệnh viện hiện đại. Các tính năng AI được trang bị trên R500
🔹 Siêu âm tổng quát với các tính năng AI
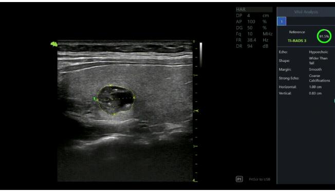
- VAid Thyroid → AI tuyến giáp (hình 1): Các khối u tuyến giáp được phát hiện trong thời gian thực hoặc trên hình ảnh đã lưu trữ, cùng với công cụ phân loại và báo cáo TI-RADS.
- VAid HRI → AI đánh giá gan nhiễm mỡ
- VAid Liver → AI phát hiện tổn thương gan
Hình 1: VAid Thyroid Tuyến giáp
🔹 VAid = AI nhận diện tổn thương
- VAid Nerve → dây thần kinh
- VAid Breast → tuyến vú : Từ trước khi sinh đến sau khi sinh, thậm chí cả sức khỏe sơ sinh; VINNO cung cấp các giải pháp AI toàn diện chỉ cần 1 cú nhấp chuột để hoàn tất đánh giá, giúp tiết kiệm thời gian đáng kể!
🔹Sản khoa VAim = AI đo đạc tự động
- VAim Follicle → nang noãn
- VAim OB → thai nhi
- VAim Pelvic → vùng chậu
- VAim Hip → khớp háng
🔹Tim mạch – Mạch máu VAim = AI đo đạc tự động
· · VAid Carotid Plaque → AI phát hiện xơ vữa động mạch
· Auto LV Study → AI phân tích chức năng tim
· VAid IVC → AI đánh giá thể tích dịch
· VAid VTI → AI đo cung lượng tim
· CÔNG NGHỆ XỬ LÝ ẢNH TRÊN NỀN TẢNG CÔNG NGHỆ VƯỢT TRỘI – VLucid+
Vinno R500 được xây dựng trên nền tảng VLucid+ thế hệ mới là kiến trúc tạo chùm tia thế hệ mới nhất, mang đến công nghệ hình ảnh vượt trội bằng cách tích hợp xử lý tín hiệu thời gian thực tiên tiến cùng các tính năng trí tuệ nhân tạo (AI) kế thừa từ dòng flagship Ultimus mang lại sức mạnh xử lý vượt trội:
-
Xử lý đa luồng dữ liệu cùng lúc
-
Hệ thống mạch số 12-bit, độ nhiễu thấp
-
Dải động lên đến 280 dB → tăng độ tương phản và chi tiết hình ảnh
-
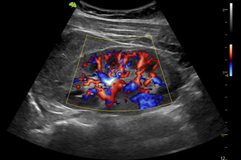
Tăng độ nhạy Doppler → phát hiện dòng chảy nhỏ chính xác hơn
.jpg)
Giảm nhiễu và giả ảnh thông minh

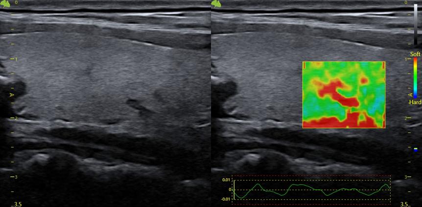
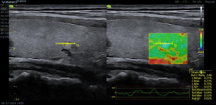
Đàn hồi mô kỹ thuật không xâm lấn, thời gian thực và bán định lượng, cho phép đo độ cứng tương đối giữa tổn thương và mô tham chiếu. Công nghệ này hỗ trợ phát hiện sớm các dấu hiệu ung thư, giảm nhu cầu sinh thiết xâm lấn, đồng thời theo dõi tiến triển xơ hóa trong các bệnh gan mạn tính. Đặc biệt hiệu quả trong khảo sát tuyến vú, gan, tuyến giáp, tuyến tiền liệt và cơ xương khớp

Đàn hồi mô bán định lượng

Trong bối cảnh nhu cầu chẩn đoán chính xác, nhanh chóng và chuyên sâu ngày càng cao, Vinno R500 nổi bật là hệ thống siêu âm 5D cao cấp, tích hợp trí tuệ nhân tạo và nền tảng xử lý mạnh mẽ, đáp ứng toàn diện mọi nhu cầu lâm sàng từ cơ bản đến chuyên sâu. R500 Vận hành trên nền tảng VLucid+, tích hợp các công nghệ siêu âm tiên tiến không ngừng phát triển, VINNO R500 thế hệ mới cung cấp hiệu năng vượt trội và chất lượng hình ảnh chính xác, đáp ứng toàn diện các yêu cầu lâm sàng.

.jpg)
Hình ảnh máy siêu âm Vinno R500
Hệ thống: CÔNG TY CỔ XUẤT NHẬP KHẨU THIẾT BỊ Y TẾ HOÀN MỸ
🌎 Website: https://ytehoanmy.vn/ 📨 Email: ytehoanmy@gmail.com
Hotline: 0945.805.966 (Zalo, Viber) Hệ thống các chi nhánh:
Miền Bắc: A8 Lô 12 Khu Đô Thị Mới Định Công, Phường Phương Liệt, Quận Hoàng Mai, TP. Hà Nội
Miền Nam: 264/20B Lê Văn Quới, phường Bình Trị Đông, quận Bình Tân, Hồ Chí Minh
Nhằm đem lại sự tiện ích cho khách hàng khi mua sắm tại thương hiệu thiết bị y tế tại Ytehoanmy.vn, chúng tôi áp dụng chính sách vận chuyển đối với khách mua hàng như sau:
a. Giao hàng trong nội thành Hà Nội và Hồ Chí Minh
- Thời gian giao hàng: Ngay trong ngày
- Phí giao hàng: Miễn phí
b. Giao hàng tại địa phương khác
- Thời gian giao hàng: Giao ngay, sau thời gian đặt hàng là: 24h hoặc 48h
- Phí giao hàng: Phụ thuộc vào phí của hãng vận chuyển đối với từng địa phương. Chúng tôi sẽ trao đổi trực tiếp với quý khách khi nhận được thông tin đặt hàng.
Lưu ý: Tuy nhiên vào thời điểm lễ, tết... hoặc tùy theo một số điều kiện khách quan như thiên tai, hỏng hóc phương tiện... chúng tôi không thể giao hàng ngay nên sẽ thỏa thuận thời gian giao hàng cụ thể cho khách hàng khi mua hàng.