Máy siêu âm 5D VINNO S300 công nghệ trí tuệ nhân tạo AI thế hệ mới
Máy siêu âm 5D Vinno S300 là giải pháp chẩn đoán hình ảnh hiện đại, tích hợp trí tuệ nhân tạo AI thông minh như VAid hỗ trợ tuyến giáp, gan và sản khoa, giúp bác sĩ nhanh chóng đưa ra kết quả chỉ với một thao tác chạm. Sở hữu nền tảng VLucid+ tiên tiến cùng công nghệ đầu dò tinh thể đơn PureWave và XCen, máy mang lại hình ảnh sắc nét, độ nhạy cao và khả năng quan sát vượt trội ngay cả ở cấu trúc sâu. Thiết kế nhỏ gọn, giao diện trực quan và chế độ hiển thị Full Screen gần 100% màn hình giúp tối ưu trải nghiệm làm việc, giảm mỏi mắt và nâng cao độ chính xác trong các thủ thuật. Vinno S300 là lựa chọn lý tưởng cho các cơ sở y tế hiện đại, đáp ứng đa dạng nhu cầu lâm sàng với hiệu suất ổn định và hiệu quả cao.
A. THIẾT KẾ GIAO DIỆN MÁY SIÊU ÂM VINNO S300
Vinno S300 được trang bị nền tảng VLucid+ tiên tiến, S300 mang đến khả năng chụp ảnh chính xác với giao diện trực quan, được thiết kế để đáp ứng nhu cầu đa dạng của thực tiễn lâm sàng hiện đại — đạt được hiệu quả hàng ngày trong một giải pháp nhỏ gọn.
1. Thiết kế nhỏ gọn và trọng lượng nhẹ
2. Hiệu suất hình ảnh được nâng cao với công nghệ VLucid+
3. Ứng dụng lâm sàng đa dạng giúp tăng hiệu quả công việc hàng ngày
4. Quy trình làm việc liền mạch với giao diện trực quan, thân thiện với người dùng

Thiết kế nhỏ gọn với trọng lượng nhẹ và kiểu dáng tinh gọn MỚI.
Tăng cường tính linh hoạt cho nhiều nhu cầu quét khác nhau
Hỗ trợ chăm sóc bệnh nhân nhanh chóng và chính xác
Được thiết kế với sự dễ dàng và thoải mái của bác sĩ làm trọng tâm
B. CÔNG NGHỆ XỬ LÝ ẢNH TRÊN MÁY SIÊU ÂM VINNO S300
Các tính năng AI cho sản khoa gồm:

Tinh thể đơn PureWave | Công nghệ đầu dò XCen
- Đầu dò PureWave Single Crystal & XCen cung cấp băng thông rộng hơn cho S1-6PS (Đơn tinh thể option)
- Cải thiện hiệu quả chuyển đổi
- Độ phân giải trục được cải thiện
- Độ nhạy được cải thiện giúp quan sát cấu trúc sâu hơn và hình ảnh rõ nét hơn.
- Độ nhạy: cao hơn nhờ sóng tinh khiết / Tinh thể đơn, băng thông rộng và thường xuyên hơn
* Chia sẻ cùng nền tảng với các hệ thống tầm trung đến cao cấp, mang lại giá trị tuyệt vời mà không ảnh hưởng đến chất lượng
Trong VLucid+, tốc độ khung hình thu nhận được tăng lên gấp nhiều lần so với VLucid nhờ công nghệ tạo chùm tia song song tiên tiến; dữ liệu độ chính xác cao nhận được được đưa vào bộ xử lý tín hiệu HÀNG ĐẦU của VINNO, DẪN ĐẾN sự gia tăng gấp nhiều lần tỷ lệ tín hiệu trên nhiễu (SNR). Quan trọng hơn, mức tiêu thụ năng lượng giảm đi 4 lần.
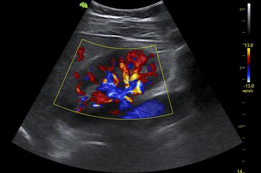
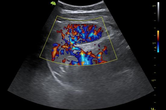
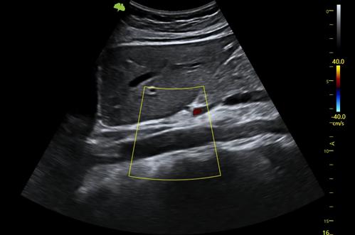
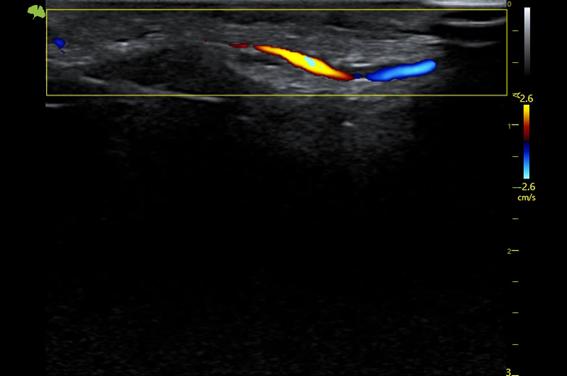
VFlow: Công nghệ Doppler màu tiên tiến với độ nhạy cao hơn có thể giúp phát hiện ngay cả các mạch máu ngoại vi. Điều này cho phép chẩn đoán chính xác khi việc kiểm tra lưu lượng máu đặc biệt khó khăn.
.jpg)
VLuminous Flow: Hình ảnh trực quan 3 chiều về dòng chảy máu giúp hiểu rõ hơn cấu trúc của dòng chảy máu và các mạch máu nhỏ một cách trực quan.
.jpg)
Vinno S300 được trang bị công nghệ hiển thị hình ảnh Full Screen, cho phép tận dụng gần như 100% diện tích màn hình để hiển thị hình ảnh siêu âm. Điều này giúp bác sĩ quan sát cấu trúc giải phẫu một cách chi tiết, rõ ràng và trực quan hơn, đặc biệt hữu ích trong các ca can thiệp siêu âm (interventional ultrasound) yêu cầu độ chính xác cao.

Khác với nhiều hệ thống siêu âm thông thường – nơi hình ảnh thực tế chỉ chiếm khoảng 70–80% diện tích màn hình 21.5 inch do bị giới hạn bởi giao diện và thanh công cụ – Vinno S300 tối ưu hóa không gian hiển thị, đảm bảo tỷ lệ hình ảnh gần như 1:1 theo chuẩn màn hình.
Ưu điểm nổi bật:
- Tăng khả năng quan sát chi tiết nhờ vùng hiển thị rộng hơn
- Giảm mỏi mắt khi làm việc trong thời gian dài
- Hỗ trợ tốt cho thủ thuật dưới hướng dẫn siêu âm
- Tối ưu trải nghiệm chẩn đoán với hình ảnh hiển thị đúng tỷ lệ

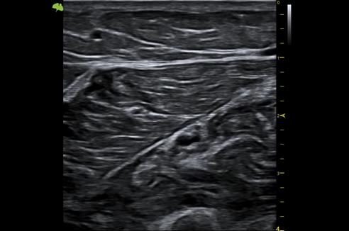
Máy siêu âm 5D Vinno S300 có hình ảnh sắc nét cho mọi chẩn đoán đặc biệt siêu âm về cơ xương khớp
.jpg)

C. LẮP ĐẶT VÀ CHUYỂN GIAO CÔNG NGHỆ CHO CÁC BỆNH VIỆN, PHÒNG KHÁM MÁY SIÊU ÂM VINNO S300
Hình ảnh lắp đặt máy siêu âm Vinno S300 cho các phòng khám tại Việt Nam
Bác sỹ Kiên chuyên thực hiện các thủ thuật về sản khoa và có IVF tại phòng khám phụ sản ở Hà Nội
Máy siêu âm mang lại hình ảnh thai sắc nét và có công nghệ trí tuệ nhân tạo OB cho các phép đo nhanh chóng có kết quả chính xác nhờ AI
Lắp đặt máy siêu âm 5D Vinno S300 cho phòng khám đa khoa ở Hưng Yên
Đội ngũ kỹ sư có chuyên môn cao luôn sẵn sàng hỗ trợ lắp đặt và hỗ trợ sử dụng sau bàn giao máy
Hệ thống: CÔNG TY CỔ XUẤT NHẬP KHẨU THIẾT BỊ Y TẾ HOÀN MỸ
🌎 Website: https://ytehoanmy.vn/ 📨 Email: ytehoanmy@gmail.com
Hotline: 0945.805.966 (Zalo, Viber) Hệ thống các chi nhánh:
Miền Bắc: A8 Lô 12 Khu Đô Thị Mới Định Công, Phường Phương Liệt, Quận Hoàng Mai, TP. Hà Nội
Miền Nam: 264/20B Lê Văn Quới, phường Bình Trị Đông, quận Bình Tân, Hồ Chí Minh
Nhằm đem lại sự tiện ích cho khách hàng khi mua sắm tại thương hiệu thiết bị y tế tại Ytehoanmy.vn, chúng tôi áp dụng chính sách vận chuyển đối với khách mua hàng như sau:
a. Giao hàng trong nội thành Hà Nội và Hồ Chí Minh
- Thời gian giao hàng: Ngay trong ngày
- Phí giao hàng: Miễn phí
b. Giao hàng tại địa phương khác
- Thời gian giao hàng: Giao ngay, sau thời gian đặt hàng là: 24h hoặc 48h
- Phí giao hàng: Phụ thuộc vào phí của hãng vận chuyển đối với từng địa phương. Chúng tôi sẽ trao đổi trực tiếp với quý khách khi nhận được thông tin đặt hàng.
Lưu ý: Tuy nhiên vào thời điểm lễ, tết... hoặc tùy theo một số điều kiện khách quan như thiên tai, hỏng hóc phương tiện... chúng tôi không thể giao hàng ngay nên sẽ thỏa thuận thời gian giao hàng cụ thể cho khách hàng khi mua hàng.