Máy siêu âm VINNO S100 công nghệ trí tuệ nhân tạo AI thế hệ mới
Máy siêu âm 5D Vinno S100 là dòng thiết bị siêu âm thế hệ mới, tích hợp trí tuệ nhân tạo (AI) tiên tiến, mang đến giải pháp chẩn đoán hình ảnh thông minh, chính xác và hiệu quả cho các cơ sở y tế hiện đại. Với thiết kế nhỏ gọn nhưng hiệu năng mạnh mẽ, Vinno S100 đang dần trở thành lựa chọn lý tưởng cho các phòng khám và bệnh viện trong nhu cầu siêu âm hàng ngày.
- Điểm nổi bật của Vinno S100 nằm ở sự kết hợp giữa công nghệ xử lý hình ảnh VLucid+ và nền tảng AI UltraSense, giúp nâng cao chất lượng hình ảnh với độ sắc nét và ổn định vượt trội. Công nghệ này cho phép thu thập dữ liệu nhanh hơn, xử lý tín hiệu tối ưu và giảm nhiễu hiệu quả, từ đó hỗ trợ bác sĩ quan sát rõ ràng các cấu trúc giải phẫu, kể cả những vùng khó khảo sát.
- Bên cạnh đó, hệ thống trí tuệ nhân tạo AI trên Vinno S100 được phát triển đa dạng với các ứng dụng chuyên sâu như VAim OB (sản khoa), VAim Pelvic (vùng chậu), VAim Follicle (nang trứng), VAim Hip (cấu trúc xương thai nhi)… giúp tự động đo đạc, phân tích và rút ngắn thời gian chẩn đoán. Đặc biệt, công nghệ VAid Thyroid hỗ trợ phát hiện tổn thương tuyến giáp theo thời gian thực, tự động phân loại theo tiêu chuẩn TI-RADS, giúp nâng cao độ chính xác và hạn chế tối đa bỏ sót bệnh lý.

Vinno S100 sở hữu công nghệ trí tuệ nhân tạo AI thông minh gồm VAim OB sản khoa, VAim Pelvic vùng chậu, VAim Follicle nang trứng, VAim Hip cấu trúc xương thai nhi, ..
A. CÔNG NGHỆ TRÍ TUỆ NHÂN TẠO AI TRÊN VINNO S100

Ngoài ra còn có trí tuệ nhân tạo AI VAid Thyroid cho tuyến giáp tự động chẩn đoán và đa lường kết quả trên bệnh nhân có bị tuyến giáp. Các khối u tuyến giáp được phát hiện trong thời gian thực hoặc trên hình ảnh đã lưu trữ, cùng với công cụ phân loại và báo cáo TI-RADS, giúp cho quy trình siêu âm tuyến giáp thường quy trong lâm sàng trở nên chính xác và hiệu quả hơn.
- Quy trình làm việc tự động và thời gian thực được tối ưu hóa giúp quét tuyến giáp hiệu quả hơn
- Tự động phát hiện tổn thương giúp tránh bỏ sót chẩn đoán
- Phân tích TI-RADS cho phép phân loại nốt toàn diện và chính xác để nâng cao độ chính xác chẩn đoán
B. CÔNG NGHỆ XỬ LÝ HÌNH ẢNH THÔNG MINH TRÊN VINNO S100
1. Công nghệ VLucid+
Vinno S100 mang lại hiệu suất chụp ảnh được nâng cao với công nghệ VLucid+ . Tầm nhìn được cải thiện với VLucid+ tốc độ thu thập dữ liệu nhanh hơn, nhiều chùm tin song song, hiệu chỉnh chùm tia thích ứng, khử nhiễu tín hiệu tốt hơn. Cùng với nó là công nghệ thu thập dữ liệu gấp 3 lần các chùm tia song song. Thông qua thuật toán xử lý tín hiệu thông minh của AI từ đó tạo ra tầm nhìn hiệu suất được nâng cao vượt trội
2. Công nghệ đầu dò XCen đơn tinh thể PureWave: Băng thông rộng hơn, Sóng tinh khiết, độ nhạy cao.
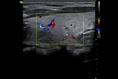
Vinno S100 còn được trang bị công nghệ đầu dò đơn tinh thể PureWave kết hợp XCen, mang lại băng thông rộng hơn, độ nhạy cao hơn và khả năng xuyên sâu tốt hơn. Nhờ đó, hình ảnh thu được không chỉ rõ nét mà còn chi tiết ở cả những vùng sâu trong cơ thể. Công nghệ Doppler màu tiên tiến cũng giúp đánh giá chính xác lưu lượng máu, hỗ trợ hiệu quả trong các trường hợp lâm sàng phức tạp.
Đầu dò PureWave Single Crystal & XCen cung cấp băng thông rộng hơn cho đầu dò tim đơn tinh thể S1-6PS (Option) nhằm: Cải thiện hiệu quả chuyển đổi, độ phân giải trục được cải thiện, độ nhạy được cải thiện giúp quan sát cấu trúc sâu hơn và hình ảnh rõ nét hơn.
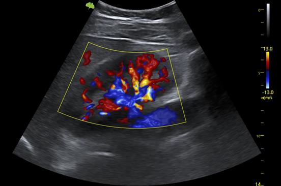
3. Công nghệ Doppler màu VFlow tiên tiến với độ nhạy cao hơn có thể giúp phát hiện ngay cả các mạch máu ngoại vi. Điều này cho phép chẩn đoán chính xác khi việc kiểm tra lưu lượng máu đặc biệt khó khăn.

4. VLuminous Flow: Hình ảnh trực quan 3 chiều về dòng chảy máu giúp hiểu rõ cấu trúc của dòng chảy máu và các mạch máu nhỏ một cách trực quan.

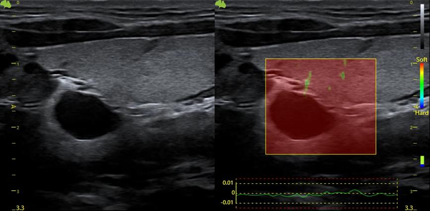
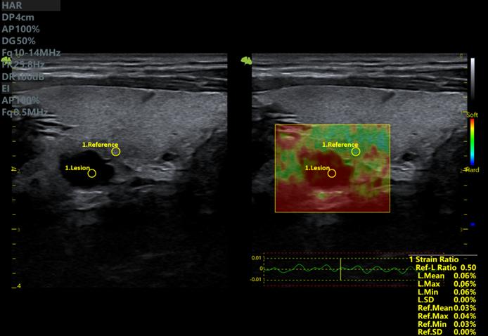
5. Giải pháp hình ảnh tổng quát: EI (Hình ảnh đàn hồi mô nén)
Một kỹ thuật không xâm lấn, thời gian thực đo độ cứng của mô để phát hiện sớm các dấu hiệu ung thư, giảm số lượng sinh thiết và theo dõi xơ hóa trong bệnh gan mãn tính. Kỹ thuật này đặc biệt hữu ích cho việc đánh giá vú, gan, tuyến giáp, tuyến tiền liệt và hệ cơ xương khớp.

Công nghệ đàn hồi mô trên Vinno

6. Vis needle Tăng cường khả năng hiển thị và độ chính xác cho các thủ thuật được hướng dẫn bằng siêu âm. Một phương pháp đặt kim đơn giản với khả năng quan sát kim tốt hơn để định vị và nâng cao độ chính xác cho các thủ thuật được hướng dẫn bằng siêu âm.

✨ Ưu điểm nổi bật Vinno S100:
✔️ Công nghệ hình ảnh VLucid+ – Hình ảnh sắc nét, ổn định vượt trội
✔️ Tích hợp AI UltraSense – Hỗ trợ chẩn đoán nhanh chóng, chính xác
✔️ Bộ AI chuyên sâu:
- VAim OB (Sản khoa)
- VAim Pelvic (Vùng chậu)
- VAim Follicle (Nang trứng)
- VAid Thyroid (Tuyến giáp – phân loại TI-RADS tự động)
✔️ Đầu dò PureWave & XCen – Độ nhạy cao, quan sát rõ cả cấu trúc sâu
✔️ Doppler màu tiên tiến – Phát hiện mạch máu nhỏ dễ dàng
✔️ Thiết kế nhỏ gọn – linh hoạt – dễ sử dụng
C. ẢNH LẮP ĐẶT MÁY SIÊU VINNO S100

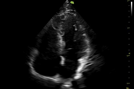
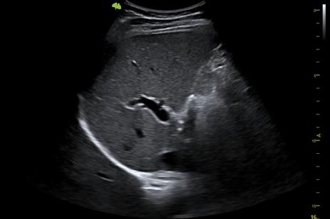
S100 có hình ảnh siêu âm mạch máu, thai nhi đều sắc nét



Với đội ngũ kỹ sư đôn đảo giàu kinh nghiệm các bác sỹ sẽ được chuyển giao đầy đủ công nghệ siêu âm mới nhanh chóng và hiệu quả, lắp đặt tận nơi trên mọi miền tổ quốc

Nhằm đem lại sự tiện ích cho khách hàng khi mua sắm tại thương hiệu thiết bị y tế tại Ytehoanmy.vn, chúng tôi áp dụng chính sách vận chuyển đối với khách mua hàng như sau:
a. Giao hàng trong nội thành Hà Nội và Hồ Chí Minh
- Thời gian giao hàng: Ngay trong ngày
- Phí giao hàng: Miễn phí
b. Giao hàng tại địa phương khác
- Thời gian giao hàng: Giao ngay, sau thời gian đặt hàng là: 24h hoặc 48h
- Phí giao hàng: Phụ thuộc vào phí của hãng vận chuyển đối với từng địa phương. Chúng tôi sẽ trao đổi trực tiếp với quý khách khi nhận được thông tin đặt hàng.
Lưu ý: Tuy nhiên vào thời điểm lễ, tết... hoặc tùy theo một số điều kiện khách quan như thiên tai, hỏng hóc phương tiện... chúng tôi không thể giao hàng ngay nên sẽ thỏa thuận thời gian giao hàng cụ thể cho khách hàng khi mua hàng.