Máy siêu âm 5D SonoScape P20 - Sự tiên tiến trong chẩn đoán y tế
SonoScape P20 là dòng máy siêu âm 5D đa chức năng dành cho bệnh viện và phòng khám. Với công nghệ tiên tiến, máy cung cấp hình ảnh siêu âm độ nét cao và chất lượng, giúp chẩn đoán và điều trị chính xác. Thiết kế tiện dụng và tính năng đa dạng, giúp nâng cao trải nghiệm người dùng và tối ưu hóa quy trình làm việc trong lĩnh vực y tế.
I.Các Ưu điểm nổi bật của SonoScape P20
Công Nghệ Hình Ảnh Tiên Tiến
- Nền tảng băng thông rộng: Hệ thống siêu băng thông kết hợp với công nghệ thăm dò tiên tiến giúp cải thiện độ phân giải hình ảnh và độ sâu, đảm bảo chẩn đoán chính xác.
- Hình ảnh tổng hợp không gian: Sử dụng chùm tia quét rộng cho độ phân giải tối ưu, giảm đốm sáng và cải thiện độ rõ nét khi siêu âm các bộ phận như vùng bụng, tim mạch.
- µ-Quét+: Công nghệ hình ảnh tiên tiến giúp giảm nhiễu và tăng cường tín hiệu, cải thiện rõ ràng chi tiết hình ảnh siêu âm.
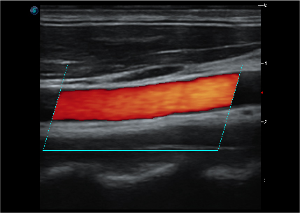
- Màu động cải tiến: Ghi lại dòng màu rõ nét hơn, cho phép nhìn rõ ngay cả các tĩnh mạch nhỏ với vận tốc thấp.
Tính Năng Siêu Âm Nâng Cao
- Hình ảnh Doppler mô: Giúp đánh giá định lượng các chuyển động và chức năng của cơ tim, hỗ trợ chẩn đoán bệnh lý tim mạch.
- IMT tự động: Đo độ dày của mạch máu một cách nhanh chóng và chính xác, cung cấp khả năng phân tích hiệu quả cao.
- TDI, CW, Vis-kim: Chức năng siêu âm chụp cắt lớp sọ não thai nhi giúp cung cấp hình ảnh chi tiết và chính xác hơn trong chẩn đoán thai nhi.
Một vài phần mềm ưu việt trên máy siêu âm 5D Sonoscape P20:
- Hình ảnh C-xlasto: hỗ trợ cho phân tích và tài liệu về độ cứng mô để cải thiện phát hiện và hình dung của khối u.
- Tự động EF: Để nhận biết cơ tim trong thời kỳ tâm trương, tâm thu và tự động tính toán phân suất tống máu.
- Tự động IMT: Để đo nhanh độ dày của mô, đảm bảo độ tái lập tốt và hiệu quả chẩn đoán cao.
- Tự động NT: Auto NT giúp các bác sĩ nhanh chóng tính toán độ dày của nuchal và tối đa hóa độ chính xác so với các phép đo thủ công.
- Auto face: Tự động nhận dạng mặt thai nhi, loại bỏ các mô che phủ từ mặt thai nhi để nhìn rõ hơn.
- AVC Follicle: Hỗ trợ bạn đo thể tích của nang, bạn cũng có thể đo thể tích của 20 nang cùng một lúc.
ỨNG DỤNG :
• Siêu âm ổ bụng như gan, thận, dạ dày,...
• Siêu âm sản, phụ khoa
• Siêu âm tim mạch
• Siêu âm các bộ phận nhỏ ( tinh hoàn, tiết niệu...)
• Siêu âm mạch máu
• Siêu âm khoa nhi
Thông số kỹ thuật máy siêu âm 5D Sonoscape P20:
- Kích thước: Depth: 751mm x Width: 518mm x Height: 1110-1680mm
- Trọng lượng: 86kg
- Màn hình LED hiển thị 21.5 inch, độ phân giải full HD
- Màn hình điều khiển, cảm ứng 13.3 inch, độ phân giải full HD
- Wifi Module kết nối mạng không dây (Option)
- Pin dự phòng (Option) có hể sử dụng liên tục 2h
- 5 cổng cắm đầu dò (Option)
- Tích hợp đầu dò convex, linear, tim, khối, chực tràng, âm đạo...
- Sử dụng nguồn điện 100-240V
- Tích hợp xe đẩy dê dàng di chuyển với 4 bánh xe 5inch ở dưới



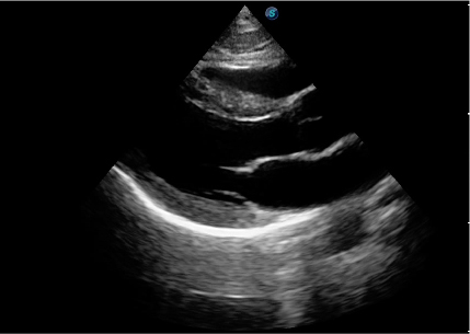
MỘT SỐ HÌNH ẢNH THỰC TẾ CỦA MÁY SIÊU ÂM 5D - SONOSCAPE P20:
.jpg)
Máy siêu âm 5D SonoScape P20 thân thiện người dùng, hình ảnh sắc nét

Nhằm đem lại sự tiện ích cho khách hàng khi mua sắm tại thương hiệu thiết bị y tế tại Ytehoanmy.vn, chúng tôi áp dụng chính sách vận chuyển đối với khách mua hàng như sau:
a. Giao hàng trong nội thành Hà Nội và Hồ Chí Minh
- Thời gian giao hàng: Ngay trong ngày
- Phí giao hàng: Miễn phí
b. Giao hàng tại địa phương khác
- Thời gian giao hàng: Giao ngay, sau thời gian đặt hàng là: 24h hoặc 48h
- Phí giao hàng: Phụ thuộc vào phí của hãng vận chuyển đối với từng địa phương. Chúng tôi sẽ trao đổi trực tiếp với quý khách khi nhận được thông tin đặt hàng.
Lưu ý: Tuy nhiên vào thời điểm lễ, tết... hoặc tùy theo một số điều kiện khách quan như thiên tai, hỏng hóc phương tiện... chúng tôi không thể giao hàng ngay nên sẽ thỏa thuận thời gian giao hàng cụ thể cho khách hàng khi mua hàng.